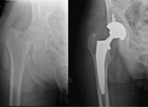
Patients with a hip fracture are at substantial risk for death, health complications, and reduced quality of life. Displaced sub capital and intracapsular femoral neck fractures unsuitable for reduction and primary fixation are usually treated with an arthroplasty procedure. Total Hip Arthroplasty (THA) offers improved functional outcomes and better health quotients in comparison to hemiarthroplasty (HA). THA may be cemented (CTHA) or uncemented (UTHA). The results of THA for acute fracture NOF were comparable to the results of THAs for other indications. The optimal treatment of mobile, independent patients who have sustained a displaced intracapsular fracture of the femoral neck remains controversial. Uncemented or cementless fixation of the femoral stem had been widely studied in comparison to the cemented fixation and outcomes have been found promising and equivalent. Displaced femoral neck fractures in elderly patients are typically treated with hemiarthroplasty (HA), however, rates of total hip arthroplasty (THA) are increasing for femoral neck fractures in the active elderly patients. The American Academy of Orthopaedic Surgeons and National Institute for Health and Care Excellence guidelines recommend total hip arthroplasty in all patients with displaced femoral neck fractures who are able to ambulate independently. In our centre, we do uncemented total hip arthroplasty for people below the age of 65years with quite good outcome.

